Usluge

Početna / Usluge

Upoznajte se s
uslugama koje nudimo

Oralna kirurgija
Parodontologija
Dječja i preventivna dentalna medicina
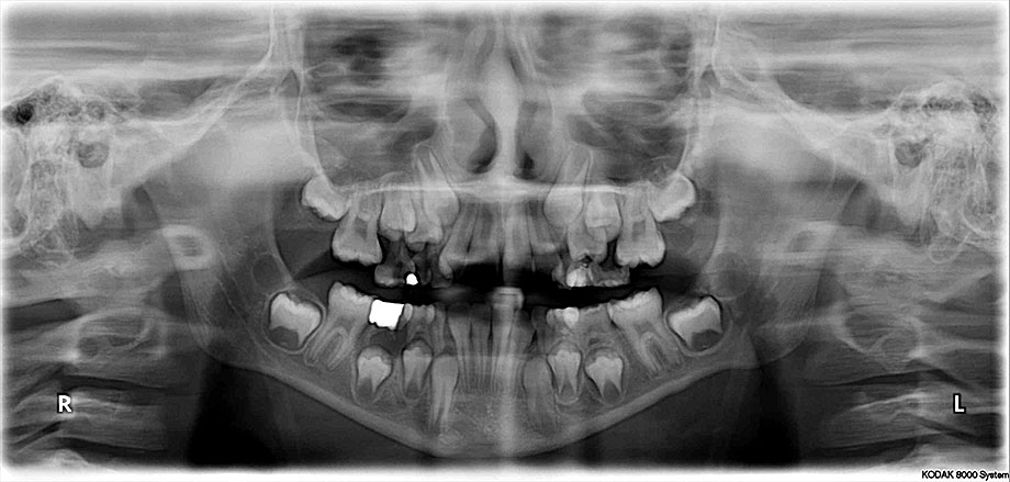
RTG dijagnostika
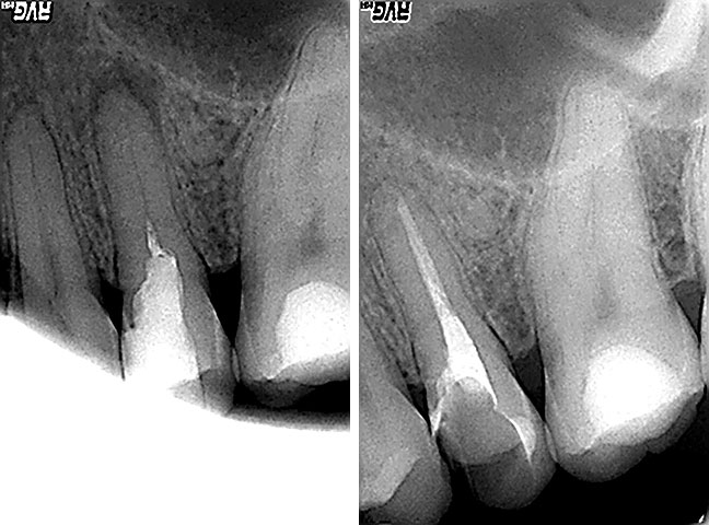
Endodoncija
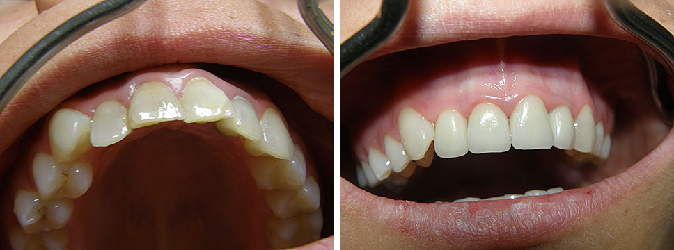
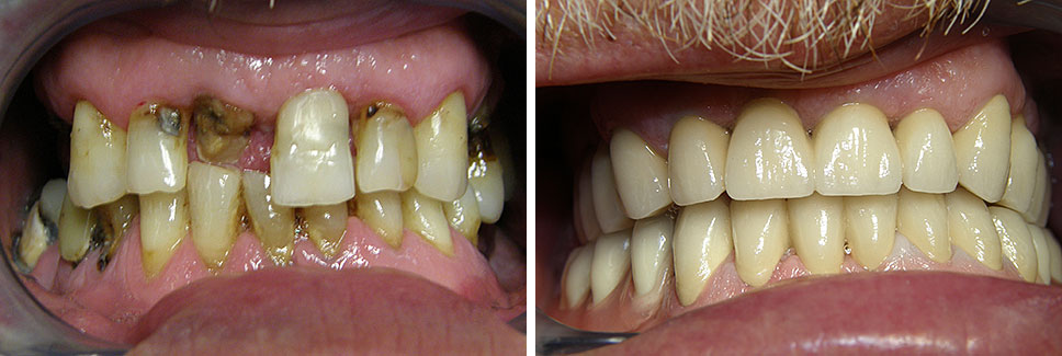
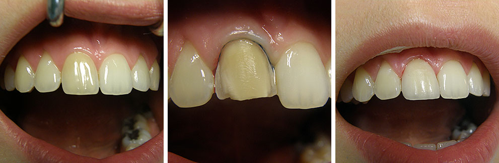
Estetska dentalna medicina
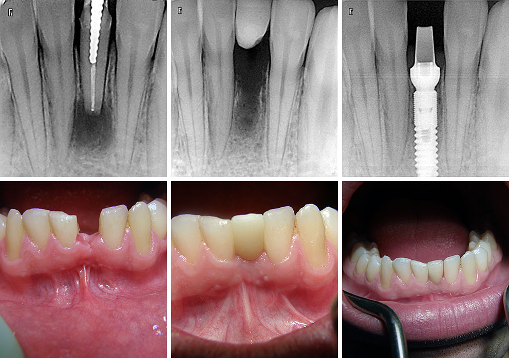
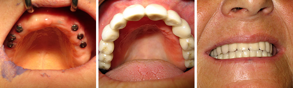
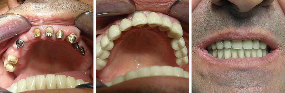
Implantologija
Laser